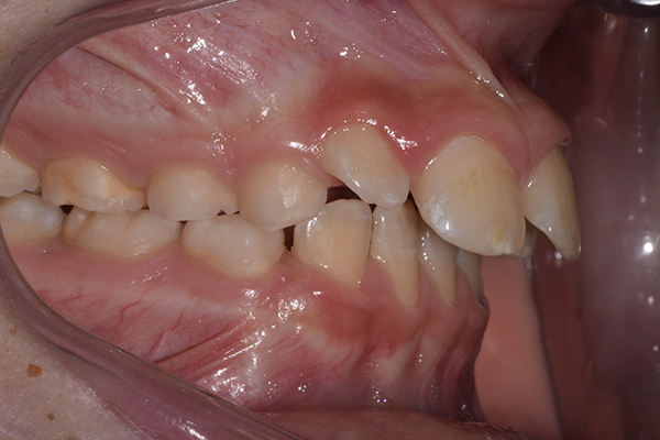
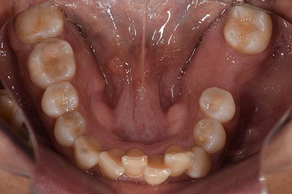
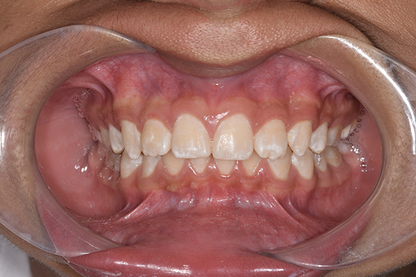
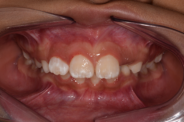
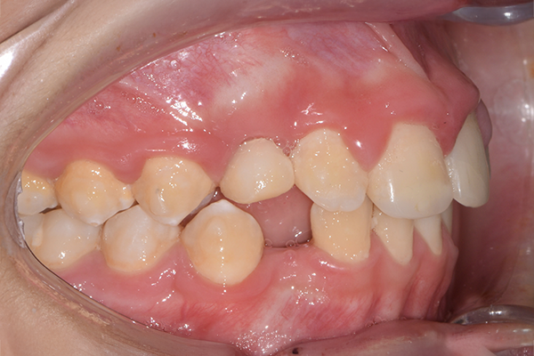
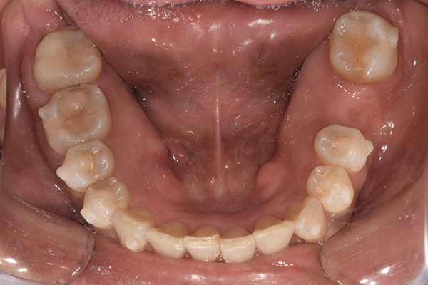
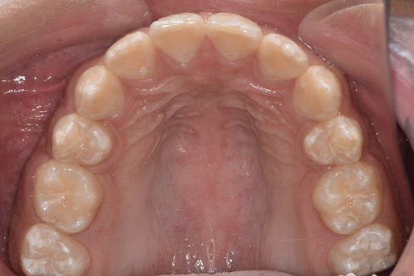
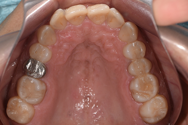
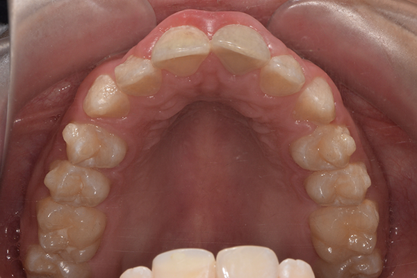
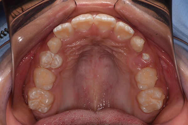
Alineadores

Corrige la posición de los dientes de manera cómoda y estética, un tratamiento moderno y eficaz que te permite sonreír con confianza sin necesidad de brackets metálicos.

Alineadores

Alineadores

Alineadores

Alineadores

Alineadores

Alineadores

Póngase en contacto con Nosotros

Escríbenos en el siguiente espacio y te brindaremos toda la información.

Recuerda que también puedes seguirnos en nuestras redes sociales.